¡°¿©µå¸§ 3-STEP ü°èÀû ¸ÂÃãÄ¡·á¡± ½Ã½ºÅÛ

ÇǺΰú Àü¹®ÀÇ¿¡ ÀÇÇÑ Á¤È®ÇÑ »óÅ Áø´ÜÀ» ÅëÇÏ¿© ¡°¿©µå¸§ 3-STEP 1:1 ü°èÀû ¸ÂÃãÄ¡·á¡± ½Ã½ºÅÛÀ¸·Î Àç¹ß ¾ø´Â ¿Ïº®ÇÑ Ä¡·á¸¦ Ãß±¸ÇÕ´Ï´Ù.

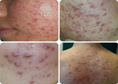
¿©µå¸§ Acne

¿©µå¸§À̶õ °ú´ÙÇÑ ÇÇÁöºÐºñ¿Í È£¸£¸ó ºÐºñ ¹× ¿©µå¸§ ±Õ, ¸ð°ø°¢È­ µîÀ¸·Î ÀÎÇØ, ¸ð°ø ¹ÛÀ¸·Î ¹èÃâµÇ¾î¾ß ÇÒ ÇÇÁö°¡ ¿øÈ°ÇÏ°Ô ºüÁ®³ª¿ÀÁö ¸øÇØ ½×À̸鼭 ÇÇÁö°¡ ¸¹Àº ºÎÀ§ÀÎ ¾ó±¼, ¸ñ, µî, °¡½¿¿¡ ¸¸¼ºÀûÀ¸·Î ¿°ÁõÀÌ ¹ß»ýÇÏ´Â ÁúȯÀÔ´Ï´Ù.

¿©µå¸§ÀÇ Áõ»ó

¿©µå¸§À» ¾ÇÈ­½ÃŰ´Â ¿äÀÎ

½ºÆ®·¹½º´Â ¼ºÀÎÇü ¿©µå¸§¿¡¼­ ´ëÇ¥ÀûÀÎ ¾ÇÈ­¿äÀÎÀÔ´Ï´Ù. ¿©¼ºÀÇ °æ¿ì »ý¸®Àü È£¸£¸ó ºÐºñ Áõ°¡·Î ÇÇÁö¼±ÀÌ ÀÚ±ØµÇ¾î ¿©µå¸§ÀÌ ½ÉÇØÁú ¼ö ÀÖÀ¸¸ç, Áö¹æ ¼ººÐÀÌ Æ÷ÇÔµÈ È­Àåǰ°ú Çì¾î½ºÅ¸Àϸµ Á¦Ç° µîÀº ¸ð°øÀ» ¸·¾Æ ¿©µå¸§À» ¾ÇÈ­½ÃŰ´Â ¿äÀÎÀ¸·Î ÀÛ¿ëÇϱ⵵ ÇÕ´Ï´Ù.
ÀÌ ¹Û¿¡µµ °úµµÇÑ ¼¼¾ÈÀ̳ª, °ú·Î, ¼ö¸é ºÎÁ· µîµµ ¾ÇÈ­¿äÀÎÀ¸·Î ÀÛ¿ëÇÕ´Ï´Ù. ƯÈ÷ Áý¿¡¼­ ¿©µå¸§À» À߸ø Â¥´Â °æ¿ì ¾Ð·Â¿¡ ÀÇÇØ ¸ð³¶³»¿ë¹°ÀÌ ÁøÇÇ·Î ÅÍÁ® ¿ÀÈ÷·Á ´õ ½ÉÇÑ ¿°Áõ°ú ÈäÅ͸¦ ¸¸µé ¼ö ÀÖ½À´Ï´Ù.

¿©µå¸§ÀÇ Ä¡·á

ȯÀÚ °³°³ÀÎÀÇ »óŸ¦ Á¤È®È÷ Áø´ÜÇÏ¿© »óÅ¿¡ ¸Â´Â Ä¡·á°¡ ÇÊ¿äÇÕ´Ï´Ù.

¿©µå¸§°ü¸® ¿©µå¸§°ü¸®

½ºÄÉÀϸµ°ú ¸éÆ÷¾ÐÃâ°ü¸®, Â¥Áö¾Ê´Â ÇϾáµå¸²ÀÇ Æ¯º°ÇÑ H solution°ü¸®

¾à¹°Ä¡·á ¾à¹°Ä¡·á

º¹¿ë¾à¹°°ú ±¹¼ÒµµÆ÷Á¦

·¹ÀÌÀúÄ¡·á ·¹ÀÌÀúÄ¡·á

Â¥Áö¾Ê°í ÈäÅÍ ¹æÁö¸¦ À§ÇÑ ¿©µå¸§ Àü¿ë ·¹ÀÌÀúÄ¡·á

±¤¿ªµ¿Ä¡·á(PDT) ±¤¿ªµ¿Ä¡·á(PDT)

ÇÇÁö¼± Å©±â¸¦ ÁÙÀ̰í, »õ·Î¿î º´º¯ ¹ß»ýÀº °¨¼Ò½ÃŰ´Â Ä¡·á

Áø·á¾È³» ¹× ¿¹¾à 043-218-3500